首頁 / 活髓案例
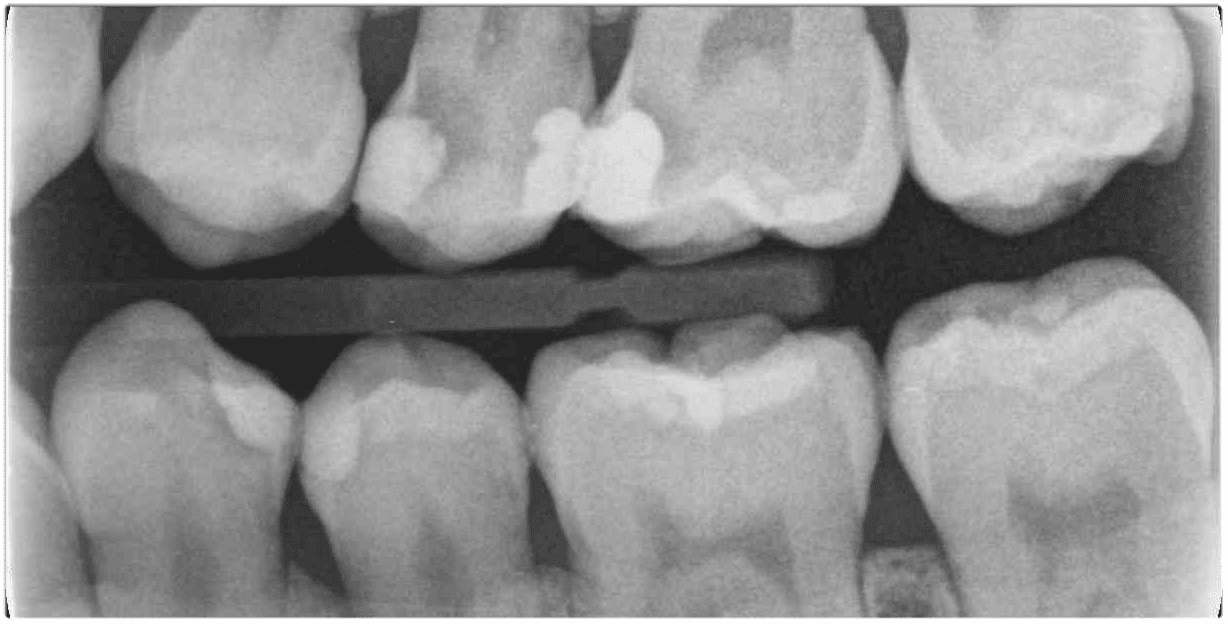
【治療醫師:林農翔 醫師】 蛀牙的⼤⼩和深度在以往肯定是需要根管治療才有可能完成治療,黃⼩姐非常害怕看牙齒,所以經過介紹轉診來希望可以不要接受根管治療,好加在病 …
Apexogenesis和Apexification是什麼? 在發育中的牙齒患者中,不少見的是發現需要某種形式的根管治療, 例如Apexogenesis和Ape …
當今國人最嚴重的口腔疾病之一就是蛀牙,當蛀牙範圍嚴重到接近牙齒的神經或是已經有輕微的發炎症狀,往往牙醫師會跟你說要抽神經才能根深蒂固的清潔病菌,解決你的牙痛問題 …
近期留言